Não sou muito vaidoso e não gosto de holofotes em cima de mim, mas a minha área de atuação profissional (área da saúde) me dá oportunidades que eventualmente outras profissões não permitam, como verdadeiramente poder ajudar pessoas em necessidade e receber manifestações como a que segue abaixo. Por uma destas coincidências que eu não consigo entender, na passagem de ano […]
Covid-19 – O que o futuro nos reserva? SMARTER 19/02/2022
Após minha equipe ter atendido mais de 1.000 (isto mesmo mil) casos de Covid, nestes quase 2 anos de pandemia, sem nenhum óbito, eu imaginaria que saberia dizer alguma coisa sobre o que devemos esperar. Não sei e efetivamente não tenho argumentos para defender algumas das muitas especulações que escuto, como: O vírus esta ficando “bonzinho” e vai se tornar […]
Como você pode proteger a si mesmo (e aos outros) nesta época de Ômicron (19/12/21)
Como disse Sócrates: “Tudo que sei, é que nada sei”, e é assim que me sinto (mesmo a equipe que lidero tendo cuidado de cerca de 800 casos de COVID-19) em relação a este vírus. Esta variante (Ômicron) parece não ser bem comportada do ponto de vista de não se importar se: Você já teve ou não COVID-19 (estou vendo […]
A Aposta de Pascal – ———-Nos tempos do COVID-19:
https://en.wikipedia.org/wiki/Pascal%27s_wager Blaise Pascal fez um questionamento se uma pessoa culta deveria acreditar ou não a existência de D’us. Segundo Pascal, uma pessoa culta deve sim acreditar na existência de D’us, pois quando você morrer e chegar aos céus e: D’us existir, voce ganhou a aposta Se ele não existir, vc não perdeu nada Por outro lado, se você não acreditar […]
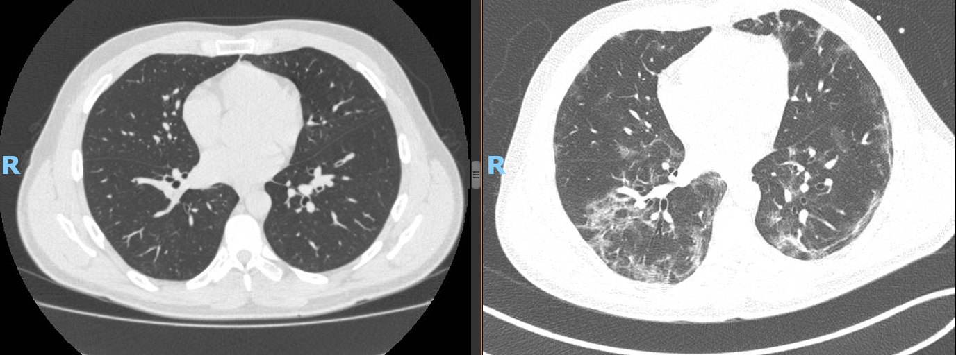
Eu e o Covid-19 (08/12/21)
A Síndrome da Caverna
Ou melhor, como sair da caverna? Na semana passada (quarta feira, 15/09/21) celebramos o Yom Kipur (dia do perdão) onde aqueles que seguem a tradição jejuam desde antes do por sol, até depois do por do sol do dia seguinte (5a feira). Em muitas familias é um costume se fazer um jantar de confraternização (não é algo religioso) em familia. […]
‘PRECISAMOS NOS CUIDAR BEM SEMPRE’
Agradecimento um ano de COVID
Não sou muito vaidoso e não gosto de holofotes em cima de mim, mas a minha área de atuação profissional (área da saúde) me dá oportunidades que eventualmente outras profissões não permitam, como verdadeiramente poder ajudar pessoas em necessidade e receber manifestações como a que segue abaixo Trata-se de um amigo de longa data, cuja família dele tem um imbricamento […]
Recomendações para final de ano para COVID-19 (14/12/2020)
Caros amigos, O saudoso Professor Arnaldo Caleiro Sandoval, cunhou a seguinte frase: “A Medicina é a Ciência das Verdades Transitórias, Transformadas em Leis para Fins Didáticos”. Com a velocidade com que novos conhecimentos vão sendo produzidos na COVID-19, é possível que amanhã este texto já esteja obsoleto. À medida que se aproxima o fim deste “Annus Horribilis”, vários amigos e […]







